Menu
Daniel Walsh FRCS | Consultant Neurosurgeon
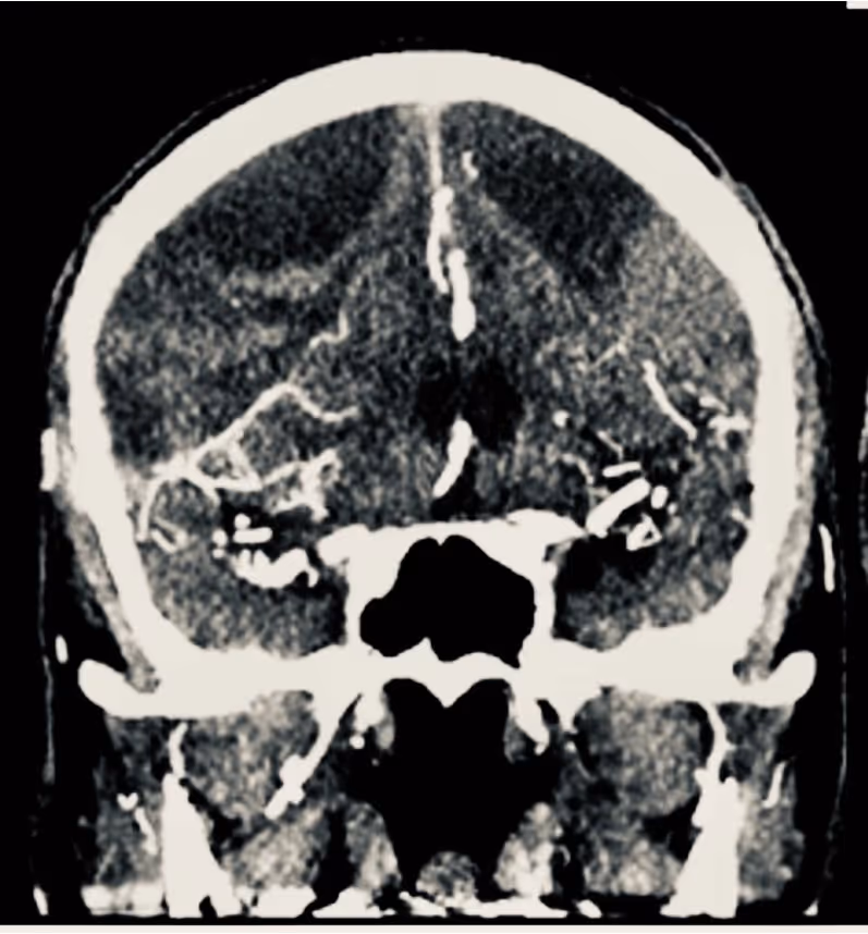
Understanding Brain Arteriovenous Malformations (AVM)

What is an AVM? How do they develop?

Bleeding from a brain AVM, or an aneurysm associated with it, is usually a neurosurgical emergency.

Brain AVM may never bleed but can be associated with other neurological symptoms such as seizures.

The removal of a brain AVM offers a highly-effective means to prevent haemorrhage in appropriately selected cases.

Smaller AVMs may, be reliably obliterated over time by precisely focussed beams of radiation.

Materials deposited via a catheter seek to obstruct flow through an AVM or occlude associated aneurysms.